November 21th 2026
I day - Conference topics

  • Periodontal and prosthetic considerations
  • SmileCloud integration: from simple to complex cases — what truly adds clinical value and what patients actually buy
  • Biological and prosthetic goals of implant restorations
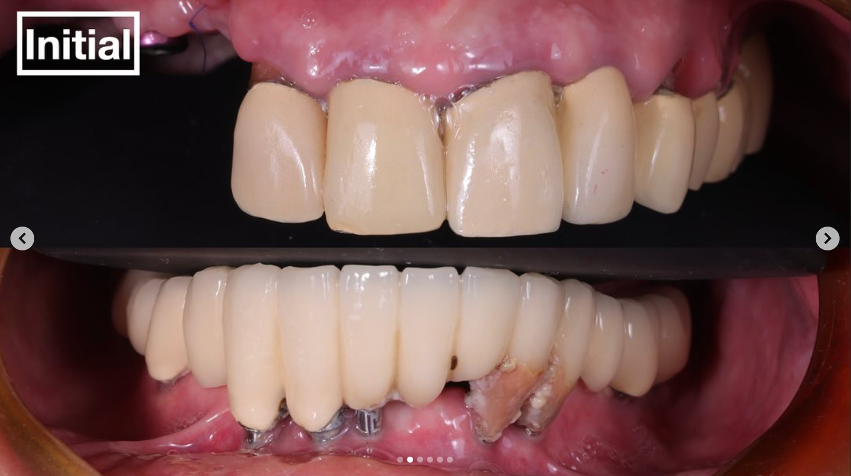
  • Immediate implant placement in the aesthetic zone
  • Perio–prosthetic considerations in anterior implant placement
  • Immediate implant concepts: risk assessment and clinical decision-making
  • Socket management and soft tissue preservation: key considerations for the prosthodontist
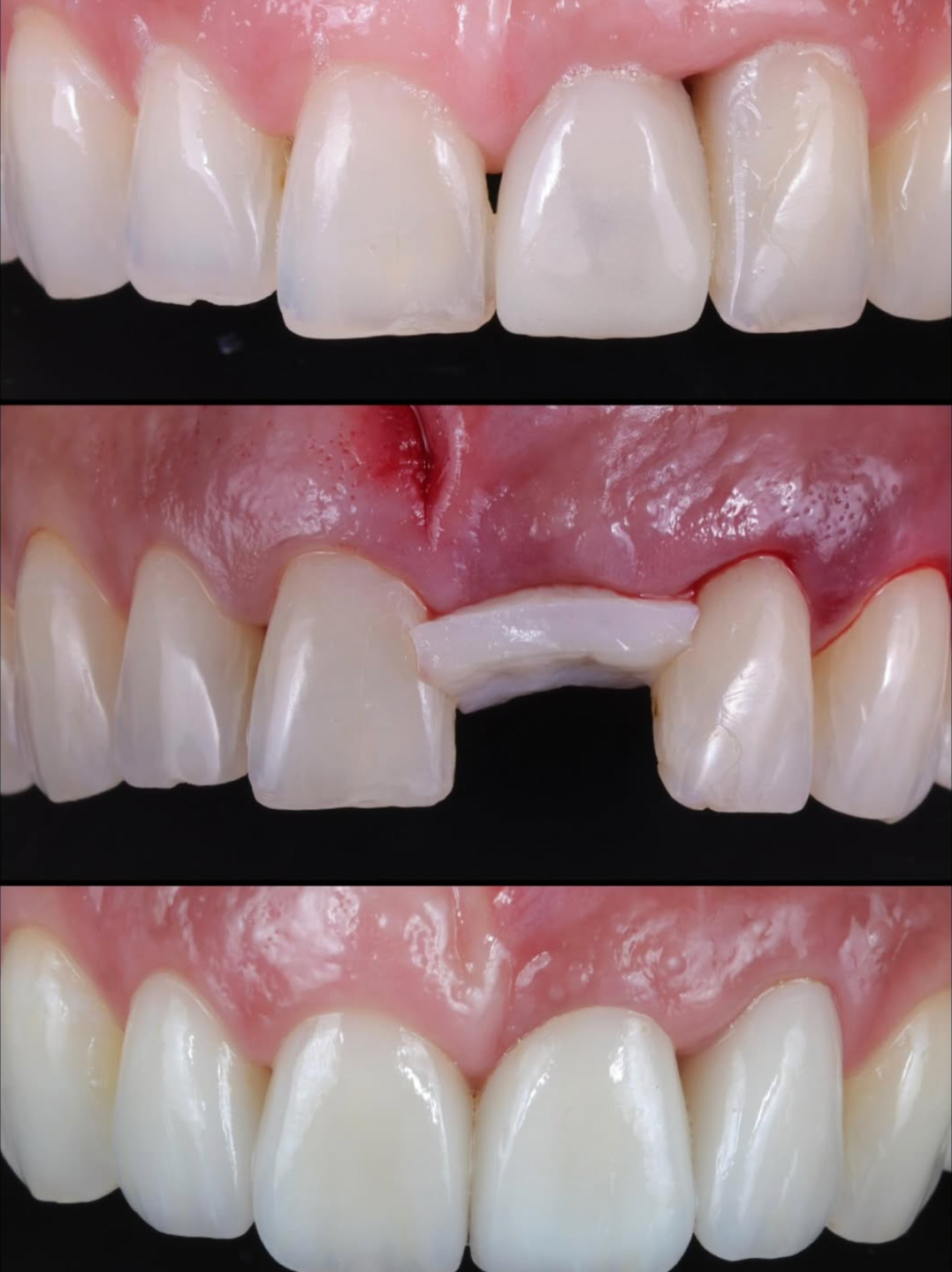
  • Socket Seal Abutment (SSA): maintaining soft tissue contour
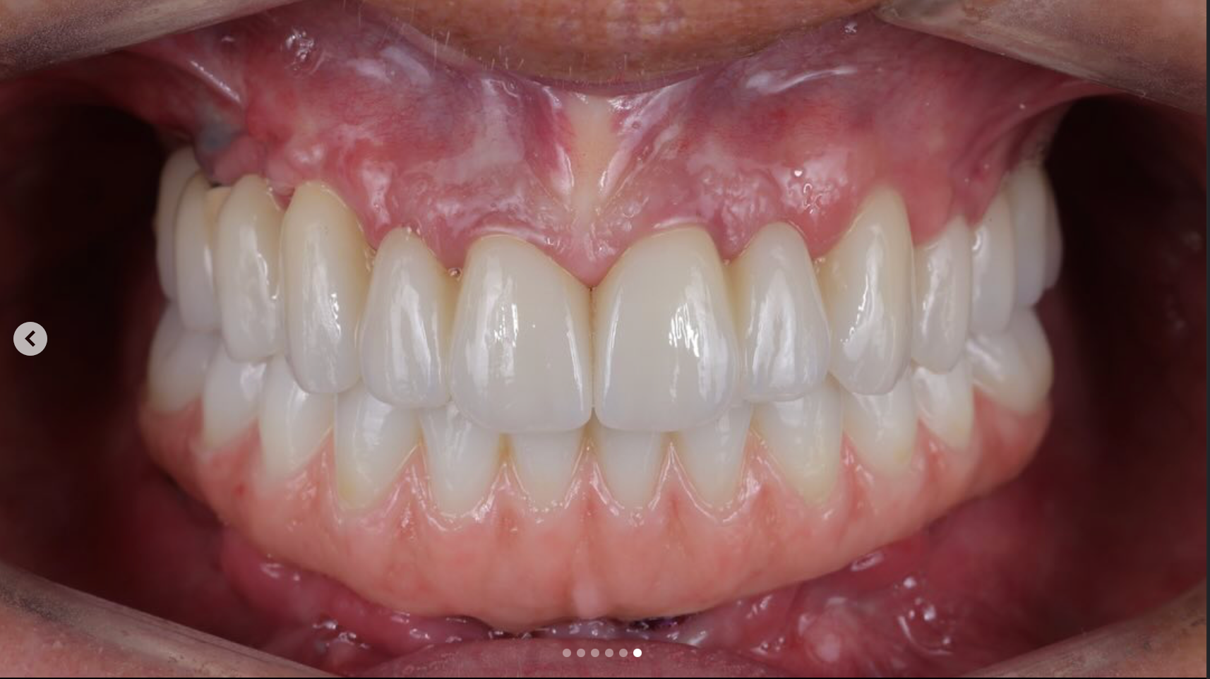
  • FP1 concept: new trends in full-arch rehabilitation
  • Biological and prosthetic goals of FP1 restorations
  •  Soft tissue architecture for FP1 success
  •  Perio–prostho synergy in full-arch cases
  •  Decision trees: from papilla management to FP1 outcomes
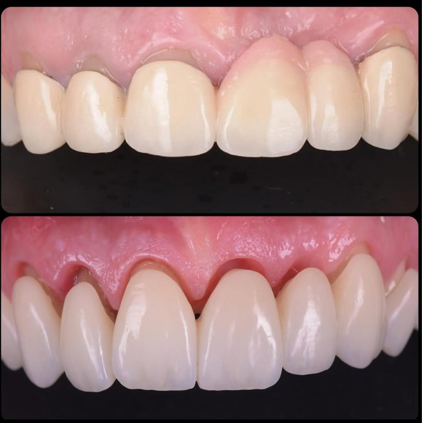
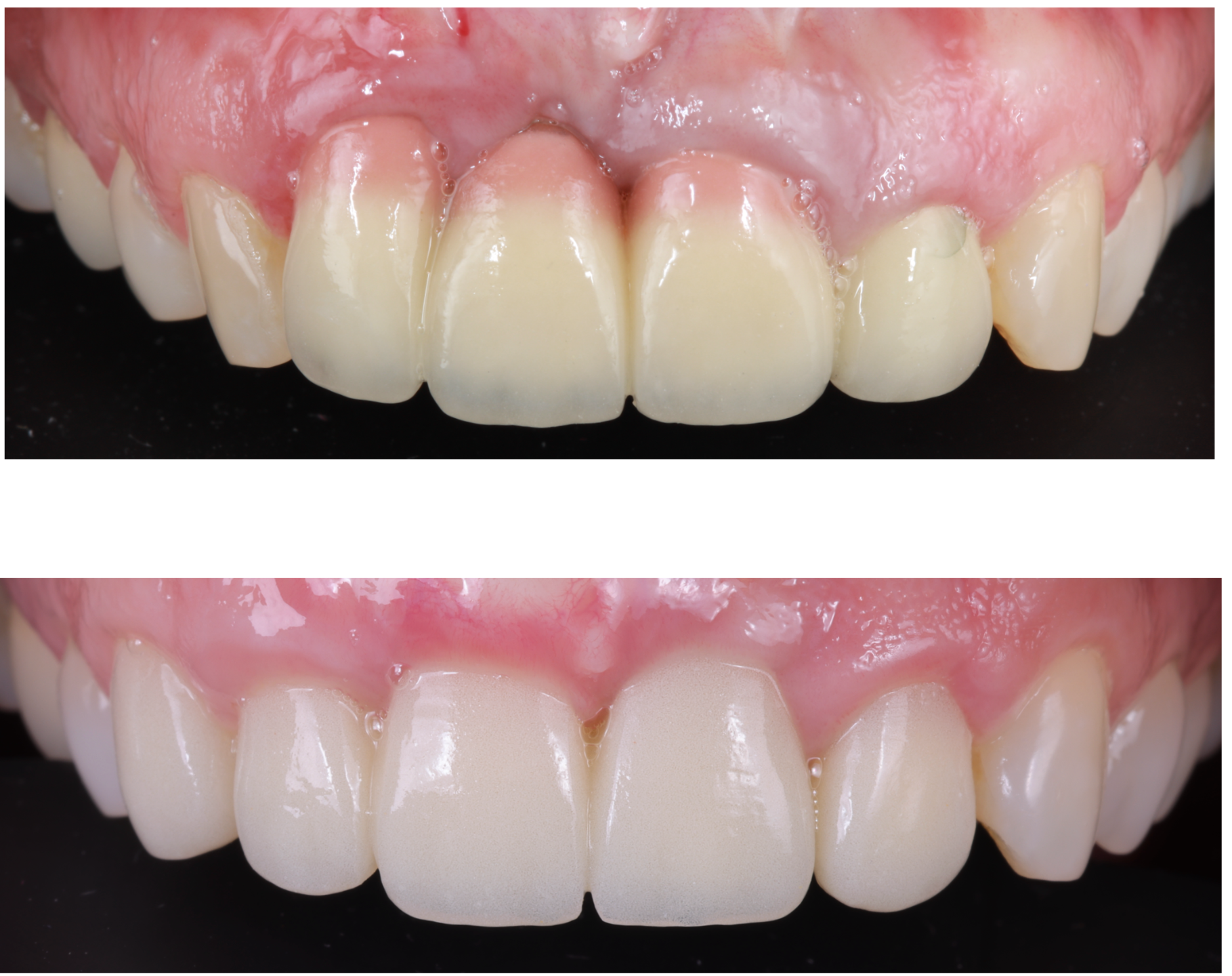
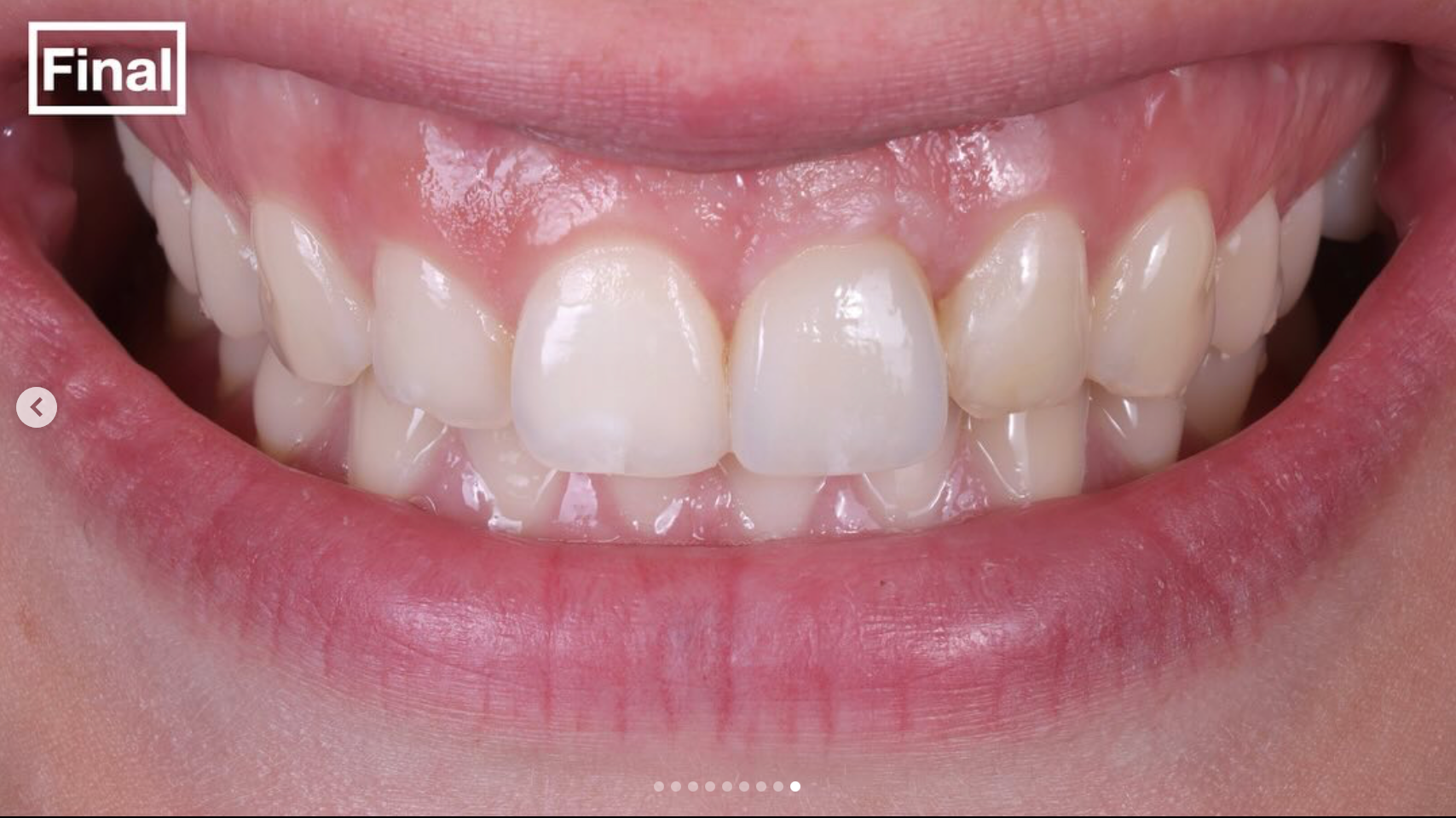
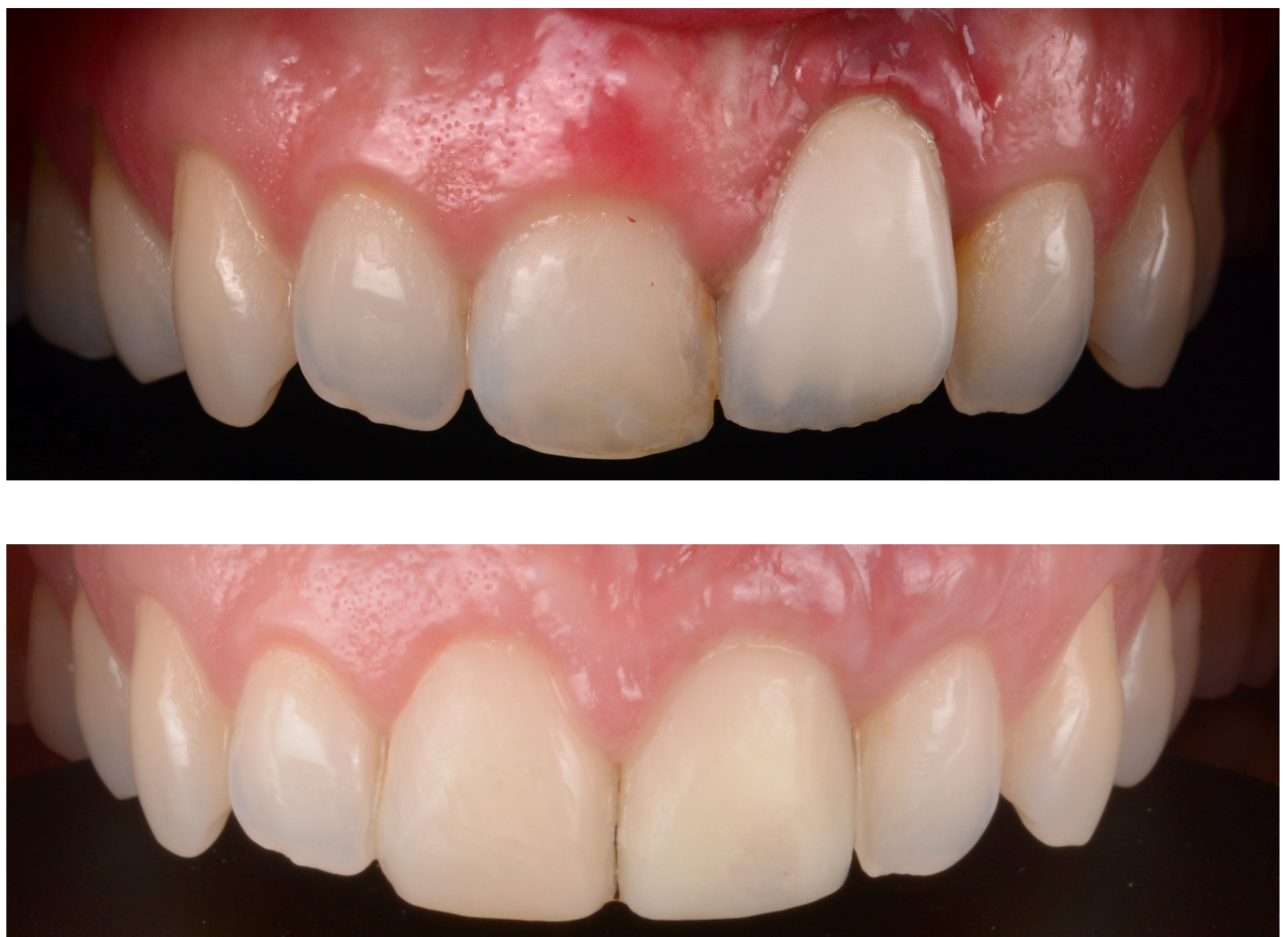
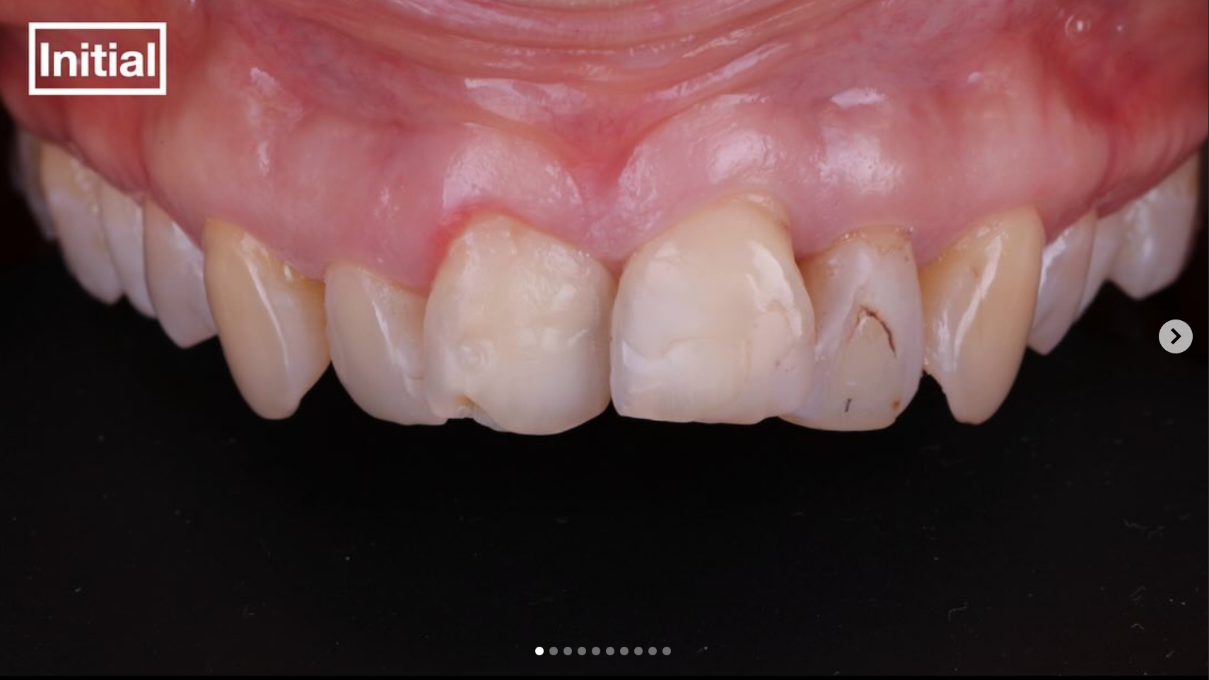
  • Complex aesthetic cases: the roles of the prosthodontist, surgeon, and dental technician in planning and execution
  • Step-by-step analysis of challenging anterior cases
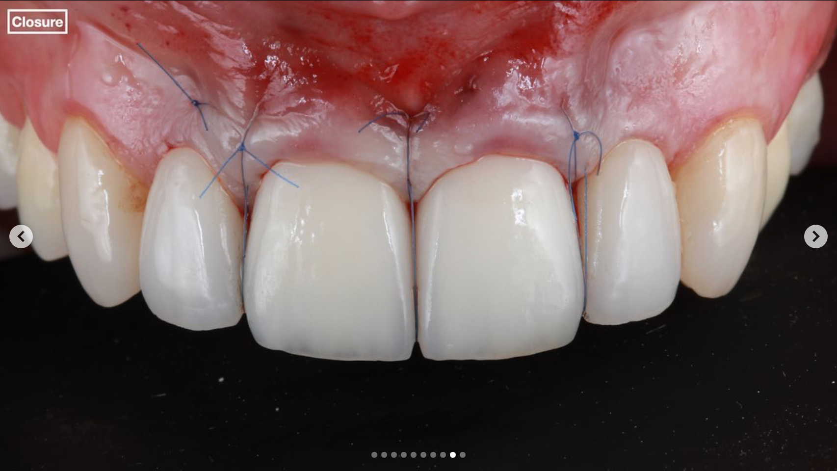
  •  Papilla reconstruction around implants
     How to avoid papilla killing mistakes

 Price: 450 eur (early bird) until September 21st

November 22th 2026
II day - HANDS-ON

Theory & Practice 

  • Perio-prostho approach for FP1 patients- explanation and discussion
  • Soft tissue augmentation in the aesthetic area
  • Papilla augmentation in the aesthetic area

Workshop: Soft tissue management and papilla augmentation techniques will be demonstrated and practiced during this workshop.

Price: 600 eur

Confirm your participation

Secure your place by purchasing your ticket through our official Paysera Tickets page.

You will be redirected to a secure ticketing environment where you can complete your registration.

Conference day

€ 450

early bird price

BUY TICKETS

Hands-On

€ 600

November 22th (sold out)
November 23th ( registration open)

BUY TICKETS